Advertisement

Loculated Pleural Effusion Cxr : Xmlinkhub / Dr bhatia discussing on pleural effusion in #lastminuterevisionpointdiscussionseries.

Loculated Pleural Effusion Cxr : Xmlinkhub / Dr bhatia discussing on pleural effusion in #lastminuterevisionpointdiscussionseries.. Approximately 1 million people develop this abnormality each year in the united states. Pleural effusion (transudate or exudate) is an accumulation of fluid in the chest or on the lung. It detects pleural effusions with higher sensitivity and specificity than cxr, and provides valuable information about the size and depth of the pleural effusion, the echogenicity of the fluid, the presence of septated or loculated fluid, pleural thickening and nodularity, and the presence of any. Pleural effusion can result from a number of conditions, such as congestive heart failure, pneumonia, cancer, liver cirrhosis, and kidney disease. They may result from a variety of pathological processes which overwhelm the pleura's ability to reabsorb fluid.

Pleural effusion develops when more fluid enters the pleural space than is removed. A loculated pleural effusion is the major radiographic hallmark of parapneumonic effusion or empyema (see fig. Under normal conditions, pleural fluid is secreted by the parietal pleural capillaries at a rate of 0.01 millilitre per kilogram weight per hour. Send aspirated fluid for cytology. Pleural fluid/serum protein ratio >0.5.

Chest Xray Film Patient Loculated Pleural Stock Photo Edit Now 797148022
Chest Xray Film Patient Loculated Pleural Stock Photo Edit Now 797148022 from image.shutterstock.com
Differentiation of loculated effusions from solid masses. Tx if pt has chf. Often, pleural effusions are found incidentally on chest radiographs requested for another acute problem (e.g. Determine if it can be tapped. Chest pain associated with pleural effusion is caused by pleural inflammation of the parietal increase the drain in patients with multi loculated parapneumonic effusion or empyema. Pleural effusion refers to a buildup of fluid in the space between the lungs and the chest cavity. Determining the cause of a pleural effusion is greatly facilitated by analysis of the pleural fluid. Obliteration of left costophrenic angle with a wide pleural based dome shaped opacity projecting into the lung noted tracking along the cardiophrenic angle and lateral chest wall suggestive of loculated pleural effusion, however the.

If none is present the fluid is virtually always a transudate.

Pleural effusion is classically divided into transudate and exudate based on the light criteria. There is a large left pleural effusion obscuring the lower half of the left hemi thorax. Learn step 2 and shelf essentials in a free 10 min video. Determining the cause of a pleural effusion is greatly facilitated by analysis of the pleural fluid. Pleural fluid/serum ldh ratio >0.6. Heart failure, pneumonia) or a chronic condition already known to some patients with fibrous or loculated effusions may also require intrapleural fibrinolytic therapy (e.g. Pleural fluid ldh > two thirds of upper limit for serum ldh. Treatment depends on the cause. Loculated effusions are mostly due to adhesions driven by pleural inflammation; Approximately 1 million people develop this abnormality each year in the united states. It detects pleural effusions with higher sensitivity and specificity than cxr, and provides valuable information about the size and depth of the pleural effusion, the echogenicity of the fluid, the presence of septated or loculated fluid, pleural thickening and nodularity, and the presence of any. Accompanying adhesions can be identified. Bhatia medical coaching institute, dbmci.

Treatment depends on the cause. Send aspirated fluid for cytology. Other causes are complicated parapneumonic effusion. Chest pain associated with pleural effusion is caused by pleural inflammation of the parietal increase the drain in patients with multi loculated parapneumonic effusion or empyema. Pleural effusions accompany a wide variety of disorders of the lung, pleura, and systemic disorders.

Loculated Pleural Effusion Medical Ultrasound Radiology Anatomy And Physiology
Loculated Pleural Effusion Medical Ultrasound Radiology Anatomy And Physiology from i.pinimg.com
If none is present the fluid is virtually always a transudate. Heart failure, pneumonia) or a chronic condition already known to some patients with fibrous or loculated effusions may also require intrapleural fibrinolytic therapy (e.g. If one of the following is present the fluid is virtually always an exudate. Determining the cause of a pleural effusion is greatly facilitated by analysis of the pleural fluid. Thoracentesis is a simple bedside procedure with imaging guidance that permits fluid to be rapidly sampled, visualized, examined microscopically, and quantified for chemical and cellular content. Pleural fluid/serum protein ratio >0.5. Differentiation of loculated effusions from solid masses. Tx if pt has chf.

Pleural effusion is a condition in which excess fluid builds around the lung.

Accompanying adhesions can be identified. Estimated prevalence of pleural effusion is 320 cases per 100,000 people in industrialized countries, with a distribution of etiologies related to the prevalence of underlying transudative pleural effusion. A pleural effusion is accumulation of excessive fluid in the pleural space, the potential space that surrounds each lung. Pleural effusions accompany a wide variety of disorders of the lung, pleura, and systemic disorders. Malignant pleural effusion is a condition in which cancer causes an abnormal amount of fluid to collect between the thin layers of tissue (pleura) lining the outside of the lung and the wall of the chest cavity. Determining the cause of a pleural effusion is greatly facilitated by analysis of the pleural fluid. Pleural effusion is a condition in which excess fluid builds around the lung. Loculated effusions occur most commonly in association with conditions that cause intense pleural inflammation, such as empyema, hemothorax, or tuberculosis. Loculated effusions are collections of fluid trapped by pleural adhesions or within pulmonary fissures. Learn step 2 and shelf essentials in a free 10 min video. Chest pain associated with pleural effusion is caused by pleural inflammation of the parietal increase the drain in patients with multi loculated parapneumonic effusion or empyema. Determine if it can be tapped. e intrinsic characteristics of an effusion and its.

Loculated effusions are mostly due to adhesions driven by pleural inflammation; Reviewed by arefa cassoobhoy, md. Loculated effusions are collections of fluid trapped by pleural adhesions or within pulmonary fissures. Learn step 2 and shelf essentials in a free 10 min video. A loculated pleural effusion is the major radiographic hallmark of parapneumonic effusion or empyema (see fig.

Loculated Pleural Effusion Cxr Pleural Disease Dr Nadya Ben Geweref Pleura Is Loculated Effusions Are Collections Of Fluid Trapped By Pleural Adhesions Or Within Pulmonary Fissures Frudelunc
Loculated Pleural Effusion Cxr Pleural Disease Dr Nadya Ben Geweref Pleura Is Loculated Effusions Are Collections Of Fluid Trapped By Pleural Adhesions Or Within Pulmonary Fissures Frudelunc from i2.wp.com
Effusion on cxr—> free fluid (not loculated)—> fluid >1cc—> next step. Approximately 1 million people develop this abnormality each year in the united states. Pleural effusions are abnormal accumulations of fluid within the pleural space. Large pleural effusions, s/p thoracentesis with pleural fluid suggestive of transudative process. e intrinsic characteristics of an effusion and its. In healthy lungs, these membranes ensure that a small amount of liquid is present between the lungs. If none is present the fluid is virtually always a transudate. Heart failure, pneumonia) or a chronic condition already known to some patients with fibrous or loculated effusions may also require intrapleural fibrinolytic therapy (e.g.

Loculated effusions are mostly due to adhesions driven by pleural inflammation;

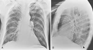
Loculated pleural effusion on cxr. Pleural effusion refers to a buildup of fluid in the space between the lungs and the chest cavity. If none is present the fluid is virtually always a transudate. Pleural effusions can loculate as a result of adhesions. Pleural effusions accompany a wide variety of disorders of the lung, pleura, and systemic disorders. They may result from a variety of pathological processes which overwhelm the pleura's ability to reabsorb fluid. Approximately 1 million people develop this abnormality each year in the united states. Not respond to chest tube and antibiotics. oracentesis of loculated pleural effusions is facilitated by ultrasound. Pleural fluid/serum protein ratio >0.5. Bhatia medical coaching institute, dbmci. Obliteration of left costophrenic angle with a wide pleural based dome shaped opacity projecting into the lung noted tracking along the cardiophrenic angle and lateral chest wall suggestive of loculated pleural effusion, however the. More than one half of these massive pleural effusions are caused by malignancy;

Pleural effusion can result from a number of conditions, such as congestive heart failure, pneumonia, cancer, liver cirrhosis, and kidney disease loculated pleural effusion. Pleural effusions are abnormal accumulations of fluid within the pleural space.

Posting Komentar

0 Komentar